top of page

Crown
.png)
22 ジルコニア+レイヤリング
.png)
45~47 ジ ルコニア+ステイン

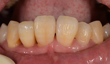
12~21 ジルコニア+レイヤリング

14~12 e-max+ステイン
.png)
16~12 ジルコニア+ステイン
.png)
12~21 ジルコニア+レイヤリング
Zirconia をメインとしたCrown製作しております。
症例により、ジルコニアディスクを使い分けております。
bottom of page

.png)
.png)


.png)
.png)
Zirconia をメインとしたCrown製作しております。
症例により、ジルコニアディスクを使い分けております。